Le breakdance, une discipline faite de mouvements acrobatiques à présent représentée aux JO, peut être éprouvant pour le corps. Un danseur en a fait l’expérience en développant une bosse inhabituelle sur le sommet de son crâne, conséquence de nombreuses années de rotations sur la tête, aussi appelées headspins. Ce phénomène, bien connu dans la communauté des danseurs, est pourtant rarement documenté dans le milieu médical.
Le cas surprenant d’un passionné de breakdance
Un homme dans la trentaine qui pratique le breakdance depuis près de vingt ans a commencé à remarquer une bosse sur le dessus de sa tête. Passionné, il s’entraînait environ cinq fois par semaine pendant 1h30, consacrant plusieurs minutes de chaque séance à des rotations sur sa tête. Ce mouvement, le headspin, consiste à tourner en équilibre sur le sommet du crâne, un exploit physique impressionnant, mais qui peut entraîner une pression intense sur cette zone.
Au fil des années, l’homme aurait alors observé une perte de cheveux circulaire autour de la bosse qui devenait de plus en plus douloureuse. Bien qu’inesthétique, ce phénomène ne l’a pas empêché de poursuivre sa pratique, mais il a fini par consulter des médecins, soucieux de comprendre l’origine de cette étrange formation. Ce qu’il ne savait pas, c’est que sa blessure n’était pas unique et qu’elle portait même un nom dans la communauté des danseurs : le trou de rotation de la tête ou, plus globalement, syndrome de surutilisation du breakdancer.

Pourquoi ces blessures se produisent-elles ?
Le breakdance est une danse exigeante qui repose sur des mouvements de rotation, de sauts et des postures qui mettent à rude épreuve certaines parties du corps. Lors des headspins, toute la pression corporelle est concentrée sur une petite zone du crâne. Cette répétition constante du mouvement sans protection adéquate provoque au fil du temps des traumatismes physiques qui se manifestent par l’apparition de bosses, d’inflammations ou de perte de cheveux.
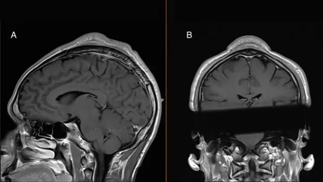
Dans le cas de cet homme, la pression répétée a entraîné un épaississement du tissu sous-cutané ainsi qu’une augmentation de l’épaisseur de l’os du crâne. Cette blessure par surutilisation n’est pas unique à la danse.
Si ce cas est rare dans la littérature médicale, il n’est pourtant pas unique parmi les breakdancers. Des études menées auprès de danseurs professionnels ont montré que près de 60 % d’entre eux ont souffert d’une forme de blessure liée à la pratique répétée des headspins. Parmi ces danseurs, environ 31 % ont rapporté une perte de cheveux et 24 % ont développé des bosses, similaires à celle observée chez cet homme. Dans certains cas, les danseurs ont même développé des inflammations du cuir chevelu, causées par le frottement et la pression répétée sur la tête.
Les rotations sur la tête peuvent également entraîner d’autres troubles plus graves, comme le lichen plan pilaire, une maladie inflammatoire qui affecte les follicules pileux et entraîne une calvitie permanente. Ces blessures, bien que souvent indolores, ne sont pas sans conséquence sur la santé des danseurs à long terme.
Une intervention chirurgicale pour traiter la bosse
Après avoir consulté, les médecins ont décidé d’intervenir chirurgicalement pour retirer la bosse. Cette opération a permis de retirer la masse de tissu excédentaire située entre la peau et le crâne. De plus, ils ont dû raser une partie de l’os épaissi afin de restaurer son épaisseur normale. Grâce à cette intervention, la bosse a disparu et le patient a retrouvé une apparence normale.

Bien que l’intervention ait été un succès, ce type de blessure pourrait être évité avec des précautions appropriées. L’utilisation de protections pour le crâne, comme des casques spécialement conçus, et la limitation de ces mouvements répétitifs sont quelques-unes des stratégies pour prévenir ce genre de blessures.
