Dernièrement, une start-up française a détaillé une solution inédite pour traiter une forme courante de tumeur cérébrale : le glioblastome. Ce traitement très prometteur, qui fait actuellement l’objet d’une étude, a recours à la lumière pour vaincre la tumeur.
Lumière et médicament photosensibilisateur
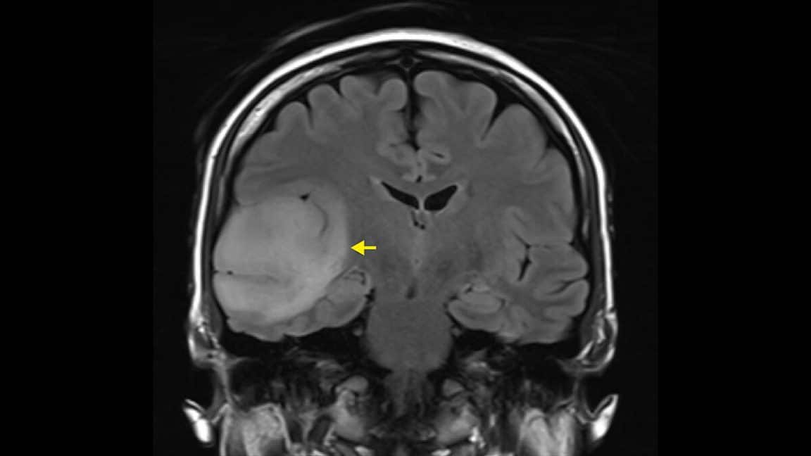
Le glioblastome est le cancer cérébral le plus fréquent chez l’adulte. Il résulte d’une prolifération anormale d’astrocytes, des cellules du système nerveux central. Dans la plupart des cas, le traitement appliqué n’est autre que la chirurgie en association à d’autres thérapies. En France, il y a près de 3 500 nouveaux cas par an avec une durée médiane de survie de seulement seize mois. Et si le glioblastome pouvait bientôt devenir un mauvais souvenir ? Dans un communiqué publié le 12 décembre 2023, la start-up française Hemerion Therapeutics et le CHU de Lille ont détaillé un nouveau traitement, actuellement en cours de test. Or, il utilise la lumière pour cibler et venir à bout de la tumeur.
« La lumière active le médicament photosensibilisateur et détruit les cellules cancéreuses partout où elle pénètre, sans endommager les tissus sains.« , ont déclaré les responsables. Selon les chercheurs, le patient absorbe en effet un médicament photosensibilisateur qui s’accumule uniquement dans les cellules cancéreuses. S’en suit une opération consistant à sectionner une partie d’organe (ou de tissu) : la résection. Cette opération précède la diffusion d’une lumière très spécifique grâce à une « plateforme d’illumination » dans la cavité opératoire durant près d’une demi-heure. Cette lumière a alors pour mission d’activer le médicament dans le but de détruire les cellules cancéreuses sans endommager les tissus sains.

Une étude qui se poursuit
Le CHU de Lille a lancé en 2021 une étude baptisée Dosindygo, après le succès d’un premier essai clinique. L’objectif ? Tester le recours à des doses de lumière de plus en plus importantes afin de détruire les cellules cancéreuses avec un taux de réussite de 100 %. Il s’agit ici d’une entreprise cruciale afin d’éviter les récidives, toujours en prenant soin d’éviter les dommages sur les tissus sains.
L’étude Dosindygo a déjà permis de traiter une douzaine de patients atteints de glioblastome. Quatre semaines après chaque traitement, une évaluation a été menée sur les patients et aucun n’a subi d’effets indésirables. Les chercheurs ont toutefois encore quelques étapes à franchir, notamment la démonstration des éléments d’efficacité, en ce qui concerne notamment l’allongement de la survie totale. Des mesures seront faites auprès des patients lors d’un suivi qui devrait durer 24 mois, après la fin de l’essai clinique.
